Researchers from South Ural State University are working on producing an innovative, super-light, and super-strong kind of steel – bainite. This new material will find use in the aviation industry, mechanical engineering, and the defence industry.
The researchers’ developments have been published in the Physics of Metals and Metallography journal (indexed in Scopus and Web of Science). The authors of the article are Doctor of Sciences (Physics and Mathematics), Professor Djalal Mirzayev and Associate Professor of the Department of Optoinformatics of the SUSU Institute of Natural Sciences and Mathematics Ivan Buldashev.
Highly Strong and Malleable Steel
Steel is an alloy of iron and carbon, but depending on the temperature the iron is heated to, it is possible to obtain different steel structures. This is because within the interval of 0 to 911°С the properties of iron change completely. There is a low-temperature zone which makes it possible to obtain ferrite, and a high temperature zone which makes it possible to obtain austenite. At a temperature lower than 911°С, austenite enters a more malleable and soft phase – ferrite, which is formed with slow cooling. In manufacturing, ferrite is used for machining. However, with shock cooling, austenite forms one more, superhard phase – martensite.
“Martensite is a solid phase of steel, since during quick cooling, carbon is unable to separate fully as carbide and gets “stuck” in the structure. In addition, during this kind of cooling, many microscopic defects appear – dislocations, which are not dangerous, but weaken the steel. Martensite is simultaneously a hard and brittle structure. Our goal is to create steel which maintains the high hardness of martensite and sufficient malleability, and, therefore, is stronger,” shares Djalal Mirzayev.
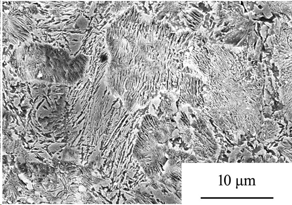
.jpg)
Structure of the bainite phase Fe-Si-Mn-Cr-V of still under a scanning electron microscope
New Steel Being Created for the Oil Industry
The basis of the current research is bainite. This is a steel structure, which is similar to martensite. It is produced by adding such elements as nickel, chrome, manganese, silicon, etc. Maintaining the highest level of strength, bainite has a higher malleability than martensite. However, the malleability of bainite is not ultimate. The researchers from SUSU are working on obtaining carbide-free bainite, what will make it possible to increase its impact resistance, since carbide particles are stress concentrators which stimulate fracture. One more important aspect is cutting the time of production required for this kind of steel.
It is important to note that this new steel will become 15-30% stronger. It will find application in both the defence industry and the oil industry. Pipes made from carbide-free bainite will not only have high impact resistance, they will also have durable strength in arctic climates. In the future, the scientists will work on searching for the optimal composition of new steel, the properties of which will depend on the industry the material will be intended for.



